אסתטיקה דנטלית

רפואת שיניים אסתטית מתייחסת לשורה של טיפולי שיניים שנועדו לשפר את החיוך,כולל צורת השיניים, צבע שיניים וסדר והתאמה בין השיניים וגם מרווחים לא אחידים בחזית הפה. מטופלים יכולים לבחור מתוך מגוון של פתרונות רפואת שיניים כדי לשחזר את הבריאות וחיוניות של החיוך שלהם הטיפולים כוללים הלבנת שיניים,זרקוניה , ציפויי חרסינה(ויניר),שחזור על ידי חומרים מורכבים וכתרים.

הלבנת שיניים

צבע השיניים נקבע  לפי מזון ,גנטיקה, חשיפה לתרופות, גיל, עישון. הלבנת שיניים היא טיפול אסתטי שמטרתו להחזיר את הלובן לשן בלי לפגוע ברקמת השן.

ההלבנה המקצועית שמשיגה תוצאון הינה מבוצעת על ידי רופא השיניים ובהדרכתו. ישנן שיטות שונות להלבנת שיניים : שימוש בחומר על ידי הרופא או שימוש בלייזר וגם שיטה של שימוש ביתי על ידי סד ביתי בהדרכת הרופא.

ההלבנה האידיאלית כיום מתבצעת במרפאה ע”י שיטת החומר המופעל על ידי מכשיר אור  אורך הטיפול כשעה וחצי ובנוסף מקבלים סדים( תבניות שקופות ) מוכנות במעבדה  בהתאם לצורת השיניים של המטופל, עם חומר הלבנה ביתי למשך כמה ימים נוספים.

ניתן לעשות רק הלבנה ביתית שהתוצאות גם הן יפות  אך מדובר בחומר בריכוז הרבה יותר נמוך מאשר זה שמשתמשים בו במרפאה ולכן עוצמת ההלבנה קטנה יותר.. הלבנת השיניים היא הטיפול האסתטי הכי בטיחותי ושמרני לשיפור צבע  השיניים. בוודאי יהיה צורך בהתאמת הטיפול למטופל על ידי בדיקה הרופא.

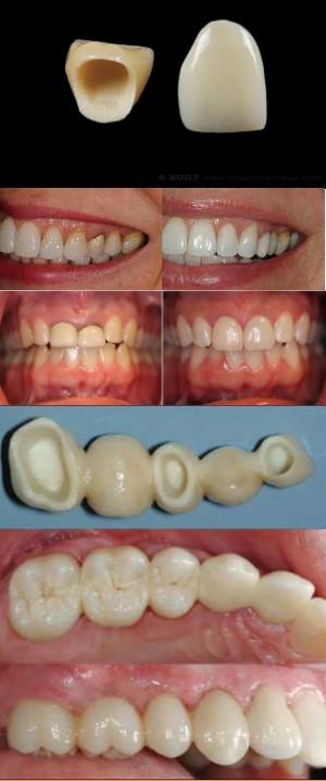
זירקוניה

כרוב כתרי השיניים עשויים משני חומרים. החלק החיצוני עשוי חרסינה, והפנימי בסיס על פי רוב זה עשוי מתכת, העשויה לגרום עם הזמן לנסיגת חניכיים או הופעה של פס כחול (או שחור) סביב  הכתר. הסיבה לתופעה זו היא חשיפה של נקודת החיבור של הכתר, חשיפה לחיידקים ולכלוך הגורמים לצביעה .תופעות אלו יכולות להימנע על ידי שימוש בכתרי זירקוניה. כתרי הזירקוניה הינה טכנולוגה מתקדמת ברפואת השיניים, כתרי זרקוניה הם תוצאהישירה של עלייה במודעות לאסתטיקה דנטלית אשר חייבה  בחומרים חזקים יותר חדשים יותר, וטבעיים יותר ומותאמים למראה במיוחד לגבי שיניים קדמיות. זירקוניה הוא חומר דומה ליהלום מלאכותי שאינו מכיל מתכת כלל, החוזק המכני עולה על זה של מתכת והופך אותו לחומר גלם מושלם לייצירת כתרים חזקים במראה טבעי. הכתרים במרפאתנו מיוצרים במעבדה שמשתמשת בחומרי הגלם של היצרנים המובילים בעולם. יתרונות כתרי זירקוניה:

 

1. מראה טבעי: האור העובר דרך החרסינה ומקנה לכתר מראה מאוד טבעי.

2. גוון: ניתן להכין בעזרת זירקוניה כמעט כל גוון של שן.

3. התאמה לחניכיים:כתר הזירקוניה מתאים יותר לחניכיים. לפיכך,שולי כתר על בסיס  זירקוניה אינם בולטים לעין ונראים טוב יותר מכתרי  חרסינה על בסיס מתכת.

4. פחות זיהום  :שולי הכתר מותאמים יותר לחניכיים וזה גורם לפחות זיהומים סביב הכתר.

ציפויי שיניים

ציפויי השיניים (למניט או ויניר) נועדו להעניק פתרון אסתטי למי שמעוניין לשפר ולייפות את החיוך ומראה הפה והשיניים.

הפתרון  בא לשנות את צבע ו או עיצוב  השיניים הקדמיות במינימום נזק לחומר שן. זהו אחת ההתקדמויות בטכנולוגיות בשיפור האסתטיקה הדנטלית.

הליך ציפויי השיניים מתבצע באמצעות מגוון חומרים ושיטות המעניקים כיסוי אסתטי לשן. בדרך כלל אפשר לבצע הדגמה לפני תחילת הטיפול ולתכנן את המראה החדש של השיניים הקדמיות.

באמצעות ציפוי השן ניתן לשנות את אורך השן וצבע השן וצורתה,וגם ניתן לצמצם מרווחים קלים בין השיניים ולשפר באופן דרמטי את מראה החיוך.

בוודאי חייבים בדיקה רפואית לייעוץ אסתטי והתאמת תוכנית עבודה עם צוות הרופאים במרפאה.